FIND YOUR SMILE
Get the care you need from professionals who are leaders in their field.
Your smile is our priority.
Dr. Delwo | Dr. Roberto | Dr. Iuliano
MEET THE DENTISTS
Our team of dentists is devoted to creating beautiful and healthy smiles for all patients.
They understand that a smile is not just about looks but also about one's overall health and confidence. With their vast experience and dedication to keeping up with the latest dental innovations, our dentists strive to provide personalized care to each patient.
Whether it's a routine cleaning or a complex procedure, they approach each case with care, precision, and a genuine desire to help patients achieve optimal oral health. Rest assured that your smile is in good hands with our dedicated team of experts.
Meet Cash!
Cash is our office all-star! He has joined us at the office every day ever since he was a little puppy. With his boundless energy and friendly demeanor, Cash quickly became an integral part of our team. His wagging tail and joyful barks greet everyone each morning, setting a positive tone for the day. Whether he's lounging by our desks or trotting around during meetings, his presence always brings a smile to our faces.
YOUR DENTAL SOLUTIONS
ALL IN ONE PLACE
We provide a variety of services to meet the needs of every patient.
Learn more about our services and how we can help
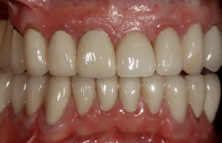
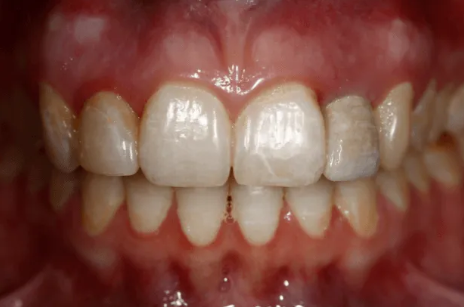
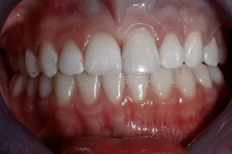
OUR WORK
SPEAKS FOR ITSELF
OUR VISION
Clinical excellence, communication, and compassion is our passion and what we deliver at Clifton Park Dental!
Our commitment is to always provide an unparalleled dental experience in a comfortable, welcoming environment. We embrace fostering an on-going relationship with our patients where we both share a value and vision towards achieving optimal dental health, that supports overall health.
As a team, our focus is on continually learning, growing, and improving. Our shared enthusiasm for educating our patients results in partners who are informed, involved, and invested in achieving a healthy and beautiful smile.
With individualized care performed at the highest standard of dental expertise and our patient's participation in that care is what sets us apart.
We are Clifton Park Dental, patient focused; results driven.

Your kindness and support as our patients are what keep us thriving, and we couldn't be here without you!
KIND WORDS FROM OUR PATIENTS
"Always a great experience! The doctors and staff are all excellent! I've been going there since they opened the office, many years ago. They are not only experts at what they do, they are kind and compassionate. I wouldn't go anywhere else! You won't be disappointed."
Debra L.
"Kindness and caring from the moment you enter. Jodi takes wonderful care of my teeth and Dr. Delwo makes going to the dentist as comfortable as can be. I and my children have been patients for 20+ years. Highly recommend this practice for all ages."
Sara H.
I relocated from Boston area last year and of course had to change dental services. I chose Clifton Park dental after reading the reviews. This is truly a wonderful dental practice. The service is the best I've ever had. Sharon is my go-to hygienist ❤ and Dr Delwo and entire staff is professional and supportive of each other.
Sally D.
When my long-time dentist retired 10 years ago I began bouncing from dentist to dentist, trying to find one I liked and trusted. Two years ago a friend recommended Clifton Park Dental. I couldn’t be happier. Dr. Roberto and all the staff there are excellent. I highly recommend them.
Shirley S.
TOUR THE OFFICE
Our office, located in the famous Clifton Park "Snoopy" building on the corner of Moe Road and Route 146, operates daily with three general dentists and two dental hygienists. Each dentist works with their own personal dental assistant to make your appointment as comfortable and efficient as possible. We also maintain two full-time administrative assistants to aid you in both making appointments and answering any financial or insurance questions you may have.

📍531 Moe Rd. Clifton Park, NY, 12065
✉️ info@cliftonparkdental.com
📞 (518)-371-8206
📠 (518)-371-0479
Hours of Operation:
Monday-Thursday: 8:00 AM - 4:30 PM
Friday: 7:00 AM - 11:30 AM
Closed Saturday and Sunday













